偽膜是什麼深入解析:成因、症狀、潛在危機與照護全攻略
Table of Contents
探索「偽膜」之謎:您不可不知的醫學現象
在我們日常生活中,許多關於健康的現象常常被忽略或誤解,而「偽膜」(Pseudomembrane)便是其中一個關鍵詞。當您在搜尋「偽膜是什麼」時,或許正為自己或親友身上出現的異常症狀感到困惑與擔憂。事實上,偽膜是一種在特定病理狀況下,由身體發炎反應所產生的假性薄膜,它並非真正的組織結構,卻是許多嚴重疾病的重要臨床表現,尤其在呼吸道感染中,其可能帶來的風險更是不容小覷。
這篇文章將帶您深入了解偽膜的醫學定義、組成成分、常見的形成部位、以及其背後可能潛藏的各種疾病風險。我們不僅會探討偽膜的診斷與治療原則,更會聚焦於其潛在的危險性與併發症,並提供實用的預防與照護建議,幫助您更全面地認識這個醫學現象,學會如何在面對它時做出正確的判斷與應對。
什麼是「偽膜」?醫學定義與基本認識
「偽膜」(Pseudomembrane),顧名思義,是一種「假性」的薄膜。在醫學上,它指的是由身體發炎反應所形成的、附著於黏膜表面,但並非真正由細胞或組織增生而成的膜狀物。它與正常身體組織的黏膜(如口腔、喉嚨內壁)有所不同,更非由細胞病變增生而來的腫瘤組織。偽膜的生成,是身體為應對感染或化學刺激而啟動的強烈防禦機制,但這種防禦卻可能反過來對身體造成危害。
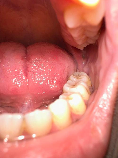
偽膜的特徵與區別
- 非真性組織: 偽膜不是由上皮細胞或結締組織等正常生理結構構成的。它是由滲出物凝結而成的。
- 主要成分: 通常包含纖維蛋白(Fibrin)、壞死的上皮細胞、白血球(尤其是中性球)、紅血球、細菌、病毒或真菌等病原體,以及一些發炎的細胞碎屑。
- 附著性: 偽膜通常緊密地附著於其下方的黏膜表面。當試圖移除它時,往往會導致下方的黏膜出血,這是一個重要的臨床鑑別特徵。
- 外觀: 顏色多為灰白色、黃白色或髒灰色,質地可能較為堅韌或鬆軟,視其組成與形成時間而異。
與「真膜」(True Membrane)相對,真膜通常是細胞增生或細胞外基質重新排列形成的,例如疤痕組織或某些腫瘤的包膜,它們通常不會輕易被刮除,且移除後下方組織不會立即出血。偽膜的特性,正是其病理性來源的重要線索。
偽膜的「身份證」:組成成分大解密
了解偽膜的具體成分,有助於我們理解其形成機制及其所代表的病理意義。偽膜的構成並非單一物質,而是多種在發炎過程中被動員和累積的物質的混合體。
主要成分
- 纖維蛋白(Fibrin):這是偽膜最核心的成分。在嚴重發炎反應中,血管通透性增加,血漿中的纖維蛋白原(Fibrinogen)會滲出到組織間隙。當組織受損或有感染時,凝血機制被啟動,纖維蛋白原轉化為不溶性的纖維蛋白,形成一個網狀結構,成為偽膜的骨架。
- 壞死上皮細胞(Necrotic Epithelial Cells):受到病原體感染或毒素作用的黏膜細胞會壞死、脫落,這些死亡的細胞碎片會被纖維蛋白網捕獲,成為偽膜的一部分。
- 炎性細胞(Inflammatory Cells):為了抵抗感染,大量的免疫細胞,特別是中性球(Neutrophils)、巨噬細胞(Macrophages)和淋巴細胞,會從血管滲出並聚集到發炎部位,它們也會被困在偽膜中。
- 病原體(Pathogens):造成感染的細菌、病毒或真菌(如白喉桿菌、鏈球菌、念珠菌、巨細胞病毒等)及其代謝產物,是偽膜形成的直接原因,它們大量存在於偽膜結構內。
- 紅血球(Red Blood Cells):由於發炎導致的血管破裂或通透性極度增高,少量紅血球也可能滲出並被納入偽膜,使其可能帶有血色或斑點。
形成機制簡述
偽膜的形成是一個複雜的過程,通常由以下步驟促成:
- 黏膜損傷與發炎: 病原體入侵或化學刺激導致黏膜細胞受損,引發劇烈的局部發炎反應。
- 血管通透性增加: 發炎介質(如組織胺、緩激肽)導致局部血管擴張,血管壁通透性顯著增加。
- 血漿滲出: 大量血漿,尤其是富含纖維蛋白原的血漿,從血管滲出到黏膜表面或組織間隙。
- 纖維蛋白形成: 滲出的纖維蛋白原在發炎環境中轉化為纖維蛋白,形成網狀結構。
- 細胞和病原體捕捉: 壞死的細胞碎片、炎性細胞和病原體被纖維蛋白網捕捉,逐漸凝固、堆積,最終形成肉眼可見的偽膜。
這個過程的嚴重程度和偽膜的性質,很大程度上取決於引起發炎反應的病原體種類、毒性,以及宿主的免疫反應。
偽膜會在哪裡出現?常見形成部位與症狀
偽膜可以在身體許多黏膜表面形成,但最常見且最為人所知的部位是上呼吸道。不同部位的偽膜會引發不同的症狀,了解這些有助於及早識別。
1. 咽喉與扁桃腺
這是偽膜最常見也最具代表性的形成部位,特別是與白喉(Diphtheria)相關。
- 症狀: 嚴重的喉嚨痛、吞嚥困難、聲音嘶啞,嚴重時可導致呼吸困難。偽膜通常呈灰白色或髒灰色,緊密附著在扁桃腺、咽壁、軟顎甚至懸雍垂上。試圖刮除會導致下方黏膜出血。
- 潛在疾病: 主要與白喉桿菌(Corynebacterium diphtheriae)感染有關。但也可能見於某些嚴重的鏈球菌咽喉炎、傳染性單核球增多症(Infectious Mononucleosis)或口腔念珠菌感染(鵝口瘡)等。
2. 氣管與支氣管
如果咽喉部位的偽膜蔓延至氣管和支氣管,情況將變得非常危急。
- 症狀: 嚴重且進行性的呼吸困難、喘鳴聲(Strider)、犬吠樣咳嗽(Croup-like cough)、發紺(皮膚發青)等。
- 潛在疾病: 主要由嚴重的白喉引起,是導致患者窒息死亡的主要原因。
3. 眼睛結膜
眼睛的黏膜(結膜)也可能形成偽膜,通常稱為「偽膜性結膜炎」。
- 症狀: 眼部紅腫、疼痛、流淚、畏光,眼瞼內側可見灰白色膜狀物。
- 潛在疾病: 常見於嚴重的腺病毒感染(如流行性角結膜炎)、疱疹病毒感染,或在極少數情況下由白喉桿菌引起。
4. 腸道(尤其結腸)
腸道黏膜形成的偽膜,通常稱為「偽膜性結腸炎」(Pseudomembranous Colitis)。
- 症狀: 嚴重腹瀉(可能帶血)、腹痛、發燒、噁心、食慾不振。內視鏡檢查可見腸壁黏膜上附著黃白色斑塊狀偽膜。
- 潛在疾病: 幾乎總是與困難梭狀芽孢桿菌(Clostridioides difficile,舊稱Clostridium difficile)感染有關,這種感染多發生於長期使用廣效抗生素後,導致腸道菌群失衡。
5. 其他黏膜部位
- 口腔黏膜: 口腔念珠菌病(鵝口瘡)在嚴重時可形成白色膜狀物,刮除時也可能出血。
- 生殖器黏膜: 某些嚴重的性傳播疾病或感染也可能在生殖器黏膜上形成類似的病變。
- 皮膚: 在某些特殊皮膚感染或化學灼傷後,也可能形成偽膜樣的滲出物凝結。
了解偽膜的形成部位及其相關症狀,對於早期發現和診斷至關重要。一旦懷疑身體任何部位出現偽膜,都應立即尋求專業醫師的評估。
為什麼會長偽膜?背後潛藏的疾病風險
偽膜本身並非一種疾病,它是一種病理表現,是身體對特定感染或刺激的劇烈反應。它的出現通常意味著潛在著較為嚴重的疾病。以下列出一些最常見且重要的導致偽膜形成的疾病:
1. 白喉(Diphtheria)
這是偽膜最典型和最危險的病因。由白喉桿菌(Corynebacterium diphtheriae)感染引起。這種細菌會產生一種強效的外毒素,導致上呼吸道黏膜(咽、扁桃腺、喉、鼻)嚴重壞死和發炎,形成典型的灰白色堅韌偽膜。
白喉的偽膜特點是緊密附著,強行剝離會導致大面積出血。其最主要的危險在於:
- 呼吸道阻塞: 偽膜可蔓延至喉部和氣管,造成嚴重的呼吸道阻塞,導致窒息。
- 毒素全身作用: 白喉毒素可隨血液循環擴散至全身,損害心肌、神經系統和腎臟,引起心肌炎、周圍神經麻痺等嚴重併發症,甚至危及生命。
由於疫苗的普及,白喉在台灣已非常罕見,但全球某些地區仍有散發病例,因此保持警惕仍很重要。
2. 偽膜性結腸炎(Pseudomembranous Colitis)
這是一種嚴重的腸道疾病,幾乎總是與困難梭狀芽孢桿菌(Clostridioides difficile)感染及其毒素作用有關。這種感染通常發生在患者長期使用廣效抗生素後,導致腸道正常菌群被破壞,使困難梭狀芽孢桿菌得以過度生長並產生毒素,引起結腸黏膜發炎壞死,形成黃白色、斑塊狀的偽膜。
- 主要症狀: 嚴重水樣腹瀉(可能帶血)、腹痛、發燒、噁心、食慾不振。
- 危險性: 可能導致嚴重脫水、電解質紊亂、巨結腸症,甚至腸穿孔和敗血症,危及生命。
3. 鏈球菌咽喉炎(Strep Throat)
由A群鏈球菌(Streptococcus pyogenes)引起。雖然大多數情況下不會形成偽膜,但在非常嚴重的A群鏈球菌咽喉炎中,特別是當扁桃腺和咽部發炎劇烈時,也可能形成白色或灰白色的滲出物,有時會被誤認為偽膜。真正的偽膜較為罕見,但仍需與白喉鑑別。
4. 傳染性單核球增多症(Infectious Mononucleosis)
主要由EB病毒(Epstein-Barr virus)引起。這種病毒感染可導致扁桃腺和咽部嚴重腫脹,表面可能覆蓋白色或灰色的滲出物,外觀上與偽膜有些相似。但其質地通常不如白喉偽膜堅韌,且較易刮除。
5. 念珠菌感染(Candidiasis)
由白色念珠菌(Candida albicans)等真菌引起,常見於口腔(鵝口瘡)、食道或陰道黏膜。在口腔念珠菌感染中,會形成白色乳酪狀斑塊,這些斑塊實際上是真菌菌絲、炎性細胞和脫落上皮細胞的混合物,有時被視為一種偽膜。它們通常可以被輕輕刮除,但下方黏膜可能會發紅或輕微出血。
6. 巨細胞病毒感染(CMV Infection)
在免疫功能低下的人群(如愛滋病患者、器官移植受者)中,巨細胞病毒(CMV)感染可能導致食道、胃腸道或結腸黏膜形成潰瘍,表面可見偽膜。
7. 其他罕見原因
- 化學性灼傷: 誤食腐蝕性化學物質(如強酸、強鹼)可導致食道或胃黏膜嚴重損傷,形成偽膜。
- 嚴重的病毒性喉炎/氣管炎: 某些嚴重的病毒感染也可能導致局部黏膜壞死和滲出,形成偽膜。
總而言之,偽膜的出現,往往提示著身體正在遭受嚴重病原體的侵襲或劇烈的病理損害。因此,一旦發現類似偽膜的症狀,務必立即尋求專業醫療評估,以便明確診斷並及時治療潛在的疾病。
偽膜的診斷與治療原則
由於偽膜通常是嚴重疾病的表徵,因此其診斷與治療都需由專業醫療人員進行。及早、精確的診斷是制定有效治療方案的關鍵。
如何診斷?
診斷偽膜及其背後的原因通常需要綜合多方面的信息:
- 詳細病史詢問: 醫師會詢問症狀持續時間、近期是否有抗生素使用史、旅行史、疫苗接種史、接觸史、免疫狀況等。
-
身體檢查:
- 直接觀察: 仔細檢查咽喉、扁桃腺、口腔、眼睛等部位的黏膜,評估偽膜的範圍、顏色、質地及附著程度。醫師可能會嘗試用壓舌板或棉籤輕輕觸碰或刮除偽膜,觀察其是否緊密附著且剝離後易出血,這是區分偽膜與普通滲出物的重要依據。
- 評估呼吸道狀況: 特別是對於咽喉部的偽膜,會仔細評估呼吸是否困難、是否有喘鳴聲等,以判斷是否有呼吸道阻塞的風險。
- 檢查其他部位: 如腹部觸診、聽診腸鳴音等,以判斷是否有腸道病變。
-
實驗室檢查:
- 病原體培養及敏感試驗: 從偽膜表面或下方黏膜取樣(如咽拭子、結腸活檢),進行細菌、病毒或真菌培養,以確定具體致病微生物。並進行藥物敏感試驗,指導抗生素使用。
- 分子生物學檢測(PCR): 對於某些特定病原體(如白喉桿菌毒素基因、困難梭狀芽孢桿菌毒素基因、CMV病毒DNA),PCR檢測能快速準確地提供診斷依據。
- 血常規檢查: 評估發炎程度(如白血球升高、C反應蛋白升高)。
- 血清學檢查: 檢測相關病毒抗體(如EB病毒抗體)。
-
影像學檢查:
- 頸部X光或CT: 對於喉部偽膜,可評估呼吸道狹窄程度。
- 腹部X光或CT: 對於偽膜性結腸炎,可評估腸道擴張情況或併發症。
- 內視鏡檢查: 對於懷疑腸道偽膜性結腸炎的患者,結腸鏡檢查是確診的黃金標準,可直觀觀察腸道黏膜的病變和偽膜的存在。
治療策略
偽膜的治療核心是針對其潛在病因進行治療,同時提供支持性照護,預防和處理併發症。
-
病因治療:
- 抗生素: 若為細菌感染(如白喉、鏈球菌咽喉炎、困難梭狀芽孢桿菌感染),需使用針對性的抗生素。對於白喉,需及時使用白喉抗毒素,以中和白喉毒素。
- 抗病毒藥物: 若為病毒感染(如CMV感染),可使用抗病毒藥物。
- 抗真菌藥物: 若為真菌感染(如念珠菌感染),需使用抗真菌藥物。
- 停用相關藥物: 對於抗生素引起的偽膜性結腸炎,通常首先考慮停用引起問題的抗生素,並改用對困難梭狀芽孢桿菌有效的抗生素(如口服萬古黴素或Fidaxomicin)。
-
支持性治療與併發症處理:
- 維持呼吸道通暢: 對於咽喉或氣管偽膜導致的呼吸困難,這是最緊急的處理。可能需要吸氧、吸痰,甚至氣管切開術或氣管插管以建立人工氣道。
- 輸液和電解質平衡: 對於嚴重腹瀉或吞嚥困難導致的脫水和電解質紊亂,需要靜脈輸液糾正。
- 營養支持: 如果吞嚥困難影響進食,可能需要鼻胃管餵食或靜脈營養。
- 疼痛管理: 使用止痛藥緩解疼痛。
- 手術治療: 在極少數情況下,如果偽膜嚴重阻塞呼吸道且藥物治療無效,或腸道偽膜性結腸炎引起嚴重併發症(如中毒性巨結腸、腸穿孔),可能需要外科介入。
- 隔離措施: 對於傳染性疾病引起的偽膜(如白喉),需進行隔離,防止疾病傳播。
請注意,任何類似偽膜的症狀都應視為急症,並立即就醫。切勿自行診斷或延誤治療,以免錯過最佳治療時機,導致嚴重後果。
偽膜的潛在危險與併發症
偽膜的危險性不僅在於它揭示了潛在的嚴重疾病,更在於其本身的存在和所處位置可能直接威脅患者的生命。其可能導致的併發症範圍廣泛,從局部影響到全身系統性損害。
1. 呼吸道阻塞(Airway Obstruction)
這是咽喉、喉部和氣管偽膜最嚴重且最致命的併發症。白喉偽膜具有緊密附著和迅速擴散的特性,可迅速覆蓋整個咽喉和氣管內壁,物理性地阻礙空氣流動。
- 後果: 引起嚴重的呼吸困難、犬吠樣咳嗽、聲音嘶啞,最終可能導致窒息,特別是在幼兒中。需要緊急氣管插管或氣管切開術來挽救生命。
2. 毒素吸收與全身性損害
某些病原體(如白喉桿菌、困難梭狀芽孢桿菌)會產生毒素。當這些毒素在偽膜內或下方大量產生時,它們可以被身體吸收,導致全身性的損害。
- 白喉毒素: 可引起心肌炎(Myocarditis),導致心臟功能衰竭;也可引起神經麻痺,影響吞嚥、呼吸和四肢活動;還可導致腎臟損害。這些都是白喉致死的主要原因。
- 困難梭狀芽孢桿菌毒素: 引起結腸嚴重發炎,導致水樣腹瀉、電解質紊亂,嚴重時可引起中毒性巨結腸症(Toxic Megacolon)、腸穿孔,甚至敗血症。
3. 出血(Hemorrhage)
由於偽膜緊密地附著在發炎受損的黏膜表面,當試圖將其剝離或它自然脫落時,下方暴露的黏膜血管可能破裂,導致出血。在呼吸道,這會加劇呼吸困難;在腸道,可能導致消化道出血。
4. 感染擴散
偽膜內部富含病原體,如果處理不當,或者患者免疫力低下,感染可能從局部擴散到周圍組織或通過血液循環擴散到全身,引起更廣泛的感染,如肺炎、敗血症等。
5. 營養不良與脫水
對於咽喉偽膜,吞嚥困難會嚴重影響飲食,導致患者攝入不足,引起脫水和營養不良。對於偽膜性結腸炎,持續嚴重的腹瀉也會導致大量水分和電解質流失,進而引發脫水、電解質紊亂和營養不良。
6. 長期併發症
某些疾病引起的偽膜,即使感染得到控制,也可能留下長期的後遺症。例如,嚴重的白喉感染後,患者可能留下心臟和神經系統的永久性損害。
因此,偽膜絕非一個可以輕視的症狀。它的出現往往是身體發出的嚴重警訊,需要立即專業的醫療評估和介入,以避免或最大限度地降低這些危險的併發症。
預防與照護:遠離偽膜威脅
雖然偽膜是一種嚴重的病理現象,但針對其主要病因採取預防措施,並在出現症狀時給予恰當的照護,能有效降低其發生的風險並改善預後。
預防措施
預防偽膜的重點在於預防引起它的主要感染性疾病:
- 疫苗接種: 這是預防白喉最有效且最重要的手段。兒童應按時接種白喉、破傷風、百日咳混合疫苗(DTaP或Tdap),成人也應定期接種加強劑。透過建立群體免疫,可大幅降低白喉的傳播風險。
-
良好衛生習慣:
- 勤洗手: 使用肥皂和清水或酒精乾洗手液,尤其是在接觸口鼻眼之前、飯前便後、接觸病患後。
- 避免共用物品: 不與他人共用餐具、水杯、毛巾等個人物品。
- 打噴嚏或咳嗽時遮掩口鼻: 使用紙巾或手肘遮擋,避免病菌飛沫傳播。
- 避免濫用抗生素: 這是預防偽膜性結腸炎的關鍵。不必要的抗生素使用會破壞腸道正常菌群,增加困難梭狀芽孢桿菌過度生長的風險。應嚴格遵循醫囑使用抗生素,不要自行停藥或增減劑量。
- 增強免疫力: 均衡飲食、規律作息、適度運動、避免過度勞累和吸菸飲酒,有助於維持良好的免疫功能,降低各種感染的風險。
- 及早就醫與隔離: 如果出現持續高燒、嚴重喉嚨痛、呼吸困難、嚴重腹瀉等症狀,應立即就醫。對於確診為白喉等傳染病患者,應及時隔離,防止疫情擴散。
日常照護建議(若已出現偽膜)
一旦被診斷出偽膜,除了遵從醫師的治療方案外,良好的日常照護也至關重要:
- 嚴格遵從醫囑: 按時按量服用所有處方藥物(抗生素、抗病毒藥、抗毒素等),完成整個療程,即使症狀好轉也不要自行停藥。
- 密切監測呼吸: 對於咽喉部偽膜患者,應密切觀察其呼吸情況,一旦出現呼吸急促、喘鳴、發紺等呼吸困難跡象,立即尋求緊急醫療協助。
- 保持水分充足: 鼓勵患者多喝水,避免脫水。對於吞嚥困難的患者,可能需要輸液或調整飲食為流質/半流質,甚至鼻胃管餵食。
- 提供舒適環境: 臥床休息,保持環境安靜、溫暖。避免刺激性食物和飲品,以免加重喉嚨不適。
- 口腔衛生: 對於口腔或咽喉部偽膜,輕柔的口腔護理(如溫鹽水漱口)可能有助於保持口腔清潔,但切勿用力刮除偽膜,以免引起出血或感染擴散。
- 營養支持: 根據病情提供足夠的營養,必要時考慮營養補充劑。
- 心理支持: 患者可能因疾病的嚴重性而感到焦慮或恐懼,家屬和醫護人員應提供必要的心理支持。
透過全面的預防措施和細心的照護,我們可以更好地應對偽膜帶來的威脅,保護自己和家人的健康。
常見問題 FAQ
為何偽膜會導致呼吸困難?
偽膜導致呼吸困難主要有兩個原因。首先,偽膜本身是體積較大的凝固物,會直接堵塞或縮小呼吸道(如喉部、氣管)的內徑,形成物理性阻塞。其次,偽膜形成部位周圍的組織因嚴重發炎而水腫,進一步加劇了呼吸道的狹窄,使空氣難以順暢進出肺部,導致患者出現喘鳴、吸氣困難等症狀,嚴重時可致窒息。
如何分辨偽膜與一般喉嚨發炎的白斑?
分辨偽膜與一般喉嚨發炎的白斑(如扁桃腺膿點或滲出物)的關鍵在於其附著性和刮除後的反應。一般喉嚨發炎的白斑通常是由膿液或輕度滲出物形成,質地較軟,可以用棉籤輕易刮除,且刮除後下方的黏膜通常不會出血或僅有輕微發紅。而偽膜,特別是白喉偽膜,則緊密地附著在黏膜上,質地通常較堅韌,強行刮除會導致下方黏膜受損並大面積出血。此外,偽膜通常範圍較廣,顏色呈灰白色或髒灰色,並伴隨更嚴重的全身症狀。
偽膜性結腸炎是偽膜嗎?跟白喉的偽膜一樣嗎?
是的,偽膜性結腸炎中的「偽膜」也是一種偽膜。它的本質與白喉的偽膜是相似的,都是由發炎滲出物(纖維蛋白、壞死細胞、炎性細胞等)凝結在黏膜表面形成的假性薄膜。它們的「一樣」在於病理學上的定義和組成相似。然而,它們的「不一樣」在於:
- 發生部位: 白喉偽膜主要發生在上呼吸道(咽喉、氣管),而偽膜性結腸炎則發生在腸道(結腸)。
- 致病原因: 白喉由白喉桿菌引起並產生毒素;偽膜性結腸炎則主要由困難梭狀芽孢桿菌引起並產生毒素,通常與抗生素使用史有關。
- 臨床表現: 由於發生部位和病原體不同,兩者的症狀、併發症和治療方法都有顯著差異。
偽膜會自己消失嗎?
偽膜很少會自己消失,尤其當它是由白喉等嚴重感染引起時。偽膜的形成是身體對抗強烈刺激或感染的結果。如果潛在的致病因素(如病原體)沒有被有效清除或控制,偽膜通常會持續存在,甚至擴大。對於像白喉這樣的疾病,如果沒有及時的醫療干預(如抗毒素和抗生素治療),偽膜會危及生命。即使是較輕微的偽膜(如某些念珠菌感染),也需要相應的抗真菌治療才能清除。因此,一旦發現偽膜,務必立即就醫,不應寄望其自行消失。
如何預防孩童感染白喉進而產生偽膜?
預防孩童感染白喉進而產生偽膜最有效且關鍵的方法是按時完成疫苗接種。目前台灣的兒童常規疫苗接種計畫中,包含白喉、破傷風、百日咳混合疫苗(DTaP或Tdap)。家長應確保孩童在出生後依照時程接種這些疫苗,並在學齡期和成年期按建議接種加強劑。疫苗能有效刺激身體產生對白喉毒素的免疫力,即使接觸到白喉桿菌,也能大幅降低感染發病或產生偽膜的風險。此外,教導孩童保持良好個人衛生習慣(勤洗手、不共用物品等)也能輔助預防。

